
30일 중앙대병원 외과 장인택, 박준석 교수팀에 따르면 유방암의 전이를 진단하기 위해 시행하는 '감시 림프절 생검법'을 대장암 환자에게 실시해 숨어 있던 미세 암세포를 발견했다고 밝혔다.
감시 림프절은 암세포 전이가 가장 먼저 일어나는 림프절로, 암세포가 다른 곳으로 전이될 때 지나는 진입로 역할을 한다.
조기 유방암 치료 시에는 환자의 감시 림프절에서 암세포가 발견되지 않으면 다른 림프절에도 암 전이가 없다고 보고 겨드랑이 림프절을 절제 하지 않아 왔다.
반면 대장암 환자의 경우 굳이 절제 범위를 축소할 이유가 없어 상대적으로 감시 림프절에 대한 관심이 덜했다.
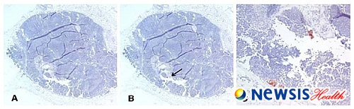
그러나 이번 연구틀 통해 조직검사상 대장암으로 진단받은 환자 69명 중 확연하게 림프절 전이를 보인 이들을 제외한 나머지 27명의 감시 림프절에 특수 면역조직화학염색을 실시한 후, 여러 등분해 단면을 관찰한 결과 새로운 사실이 나타났다.
27명 중 총 5명(18.5%)의 감시 림프절에서 통상적인 조직검사에서는 발견되지 않았던 미세 암 전이가 새롭게 확인된 것이다.
연구팀은 미세 암 전이가 새롭게 드러난 이들(원칙상 대장암 2기)을 장기적으로 추적 관찰해, 3~4년 뒤에는 감시 림프절의 미세 전이와 대장암 재발 위험과의 상관관계를 규명하게 될 것으로 기대했다.
또한 이번 연구결과가 향후 대장암 환자의 정확한 병기설정과 그에 따른 치료법을 정하는데 중요한 역할을 할 것으로 내다봤다.
