
[뉴스인] 조진성 기자 = 비후성(肥厚性) 심근병증은 말 그대로 심근(심장근육)이 비정상적으로 두꺼워지는 질환이다. 심근이 두꺼워지면 근육의 수축과 이완이 원활하지 않아 부정맥이 발생하고, 때로는 치명적 부정맥이 발생해 돌연사로 이어질 수 있어 각별한 주의가 필요하다.
보통 심근은 수년 이상 고혈압을 조절하지 않고 방치할 때 두꺼워지며, 심장에서 피가 나가는 출구가 좁아지는 대동맥판협착증이 있을 때에도 두꺼워진다. 심장이 혈액을 내보내기 위해 더 큰 힘을 써야 하고 그 결과 근육이 발달해 두꺼워지는 원리다. 하지만 비후성 심근병증은 특별한 이유 없이, 혹은 이유가 있더라도 그 정도로는 설명이 안 될 만큼 지나치게 심근이 두꺼워지는 특징을 보인다.
비후성 심근병증에서 가장 문제가 되는 합병증은 돌연사이다. 일반적으로 증상이 없는 경우가 많아 아무 전조증상 없이 실신하거나 급사함으로써 진단될 때가 있다. 대개 건강 검진 이후 심전도, 심장초음파 이상으로 확인되는 경우가 가장 많고, 돌연사의 가족력에 대한 가족 검사를 통해 알게 되는 경우도 있다.
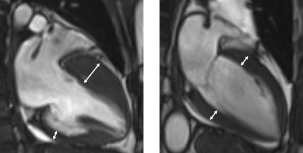
진단은 심장초음파, 자기공명영상 등 영상검사를 통해 이뤄지며, 비후된 심근 내에 섬유화가 진행돼 있거나, 근육조직이 지방조직으로 변성이 돼 있는 상태가 관찰된다. 하지만 이 같은 조직변성이 없는 비후성 심근병증도 있는 만큼 전문의의 종합적 판단이 중요하다.
비후성 심근병증의 치료 목표는 증상을 줄이고 심부전이나 급사와 같은 합병증을 예방하는 것이다. 대부분 약물치료를 통해 심박수를 낮추고 심근 이완을 촉진하는 치료로 시작한다. 약물로 조절이 안될 때는 두꺼워진 심근 일부를 절제해 혈류의 길을 확보하는 수술적 치료가 권고된다. 심실중격의 관상동맥에 알코올 등을 주입함으로써 근육의 부분적 위축을 일으키는 관헐적 시술을 할 때도 있다. 실신의 병력, 돌연사의 가족력, 심근섬유화 정도, 심실빈맥 유무, 심근 비후 정도 등을 점수화해 돌연사 가능성이 높은 환자들에게는 이식형 심실제세동기를 예방적으로 삽입하기도 한다. 비후성 심근병증 환자는 심방세동·협심증 같은 합병증이 자주 생길 수 있으므로, 증상이 없어도 정기 검사를 통해 조기에 발견하고 즉시 치료받는 것이 중요하다.
개인 병력이나 가족력 등으로 고위험군에 속하는 비후성 심근병증 환자는 부정맥으로 인한 돌연사의 위험이 있지만, 대부분의 환자는 적절한 관리와 정기적인 검사를 통해 안전하게 일상생활을 유지할 수 있다. 걷기, 요가, 가벼운 자전거 타기 등 저~중강도 운동은 오히려 심혈관 건강에 도움이 될 수 있다. 다만, 최대심박수의 70%를 넘는 고강도 운동은 안전성에 대한 근거가 부족하므로, 반드시 충분한 검사와 사전 평가를 거쳐 단계적으로 강도를 높이는 것이 바람직하다.
고려대학교 안산병원 순환기내과 김용현 교수는 “비후성 심근병증은 고위험군의 경우 돌연사로 이어질 수 있는 만큼, 가족력이나 실신 병력이 있다면 정기적인 검사를 통해 조기에 발견하고 관리하는 것이 중요하다”며 “돌연사 상황에 대비해, 보호자들은 심폐소생술과 자동제세동기 사용법을 익혀두는 것이 중요하다”고 당부했다.
